以阿霉素(Doxorubicin,DOX)为代表的蒽环类药物,是一类高效、广谱的抗癌药物,常用于对抗肿瘤药产生耐药性的白血病、乳腺癌、卵巢癌、胃癌、肝癌等,但其心脏毒性和可能导致的心力衰竭严重限制了应用。通常认为,溶酶体受损引起的自噬损伤是阿霉素心脏毒性的机制特征之一。
长期的心脏毒性难以预测且不可逆,会发展为心肌病并最终导致心力衰竭。但目前临床用于预防 DOX 心脏毒性的药物却十分有限。

(图片来源于网络)
在过去的二十年里,细胞外囊泡(EVs)引起了人们的极大兴趣,因为它们具有治疗各种疾病状态和封装治疗分子的潜力,为治疗心血管疾病和其他疾病提供了一种新方法。近年来研究发现植物细胞也会释放外泌体样纳米囊泡(P-ELNs),其生物来源和形态与哺乳动物 EVs 相同。由于 P-ELNs 的来源是可食用植物,它们无毒、生物相容性好、可生物降解,不会诱导免疫原性和携带病原体,产量高,可大规模生产,可作为药物输送平台进行广泛研究。
近日,徐州医科大学罗兰/齐素华教授团队在 Journal of Nanobiotechnology 上发表了题为“Momordica charantia L.-derived exosome-like nanovesicles stabilize p62 expression to ameliorate doxorubicin cardiotoxicity”的研究,揭示了苦瓜外泌体样纳米囊泡在阿霉素心肌损伤治疗中的作用及分子机制。

(图片来源于网络)
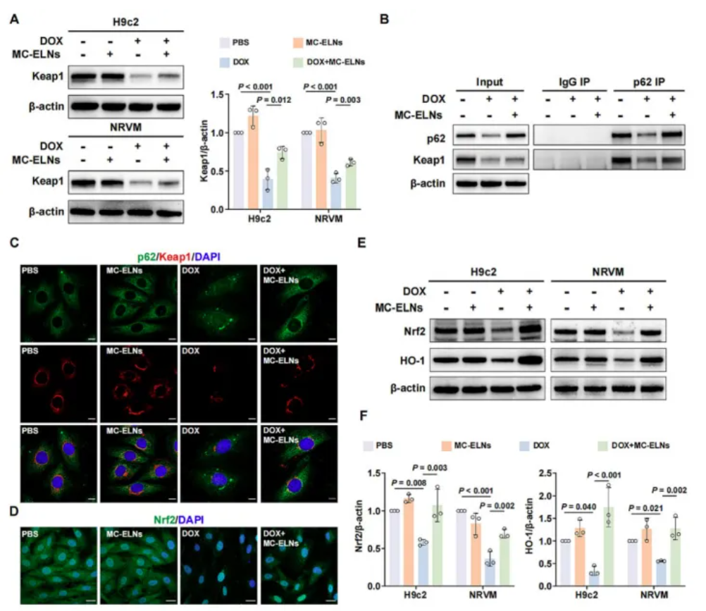
在该研究中,研究人员发现从苦瓜(Momordica charantia L)中获取的苦瓜外泌体样纳米囊泡(MC-ELNs)具有优异的抗氧化性能。MC-ELNs 通过抑制 DOX 诱导的 p62 泛素化降解,稳定 p62 蛋白水平,进而恢复 p62 与 Keap1 结合,促进 Nrf2 核易位和下游基因 HO-1 的表达,促进了心肌细胞的存活。稳定 p62 蛋白水平促进 Nrf2 核易位有望作为减轻癌症患者 DOX 心脏毒性的治疗新靶点。

(图片来源于网络)
植物外泌体样纳米囊泡生物相容性良好且可大批量分离提取,具有较好的临床应用前景。
如需了解更多关于“肿瘤”信息
请与我们进一步联系